近日,一位 62 岁的患者因双侧髋部渐进性疼痛伴活动受限,专程来到长春国文医院寻求专业治疗。该患者在 5 个月前,无明显诱因下开始出现双髋部疼痛,右侧更为显著,严重影响日常生活。最初,患者前往当地医院就诊,经过一系列检查后,被确诊为 “股骨头无菌性坏死”。当地医院为其制定了保守药物治疗方案,经过一段时间治疗,疼痛症状得到一定程度缓解。

然而,好景不长,随着时间推移,患者双髋部疼痛再次发作,且愈发严重。为缓解病痛,患者先后前往长春市某医院以及山东省某医院求医。但这两家医院在详细检查评估后,均给出保守治疗的建议。尽管多次接受保守治疗,可患者的病情并未得到有效控制,疼痛不断加剧,日常行动愈发艰难。
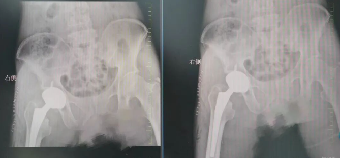
多方打听后,患者了解到长春国文医院在骨科疾病诊疗领域,尤其是股骨头坏死治疗方面,拥有深厚的专业实力与丰富的临床经验,遂满怀希望前来就诊。骨科门诊医生详细询问患者病史,仔细查看过往检查报告,并进行初步检查后,确诊患者为 “股骨头坏死”。考虑到患者病情反复且逐渐加重,保守治疗效果不佳,医生建议进行全髋关节置换手术。
考虑到患者已步入花甲之年,为在保障手术安全性的同时,最大程度契合患者术后康复需求,骨科医疗团队经综合评估后,制定了 “分期手术” 的个性化治疗方案。团队决定优先为患者实施右侧人工全髋关节置换术,以缓解其右侧剧烈疼痛,改善关节活动功能。待患者右侧髋关节功能恢复稳定后,医疗团队将再次对其左侧病灶情况进行全面评估。
人工髋关节置换术能够有效缓解疼痛,恢复关节功能,提高患者生活质量。目前,该手术技术已相对成熟,长春国文医院骨科团队在全髋关节置换手术方面经验丰富,曾成功为众多患者实施手术,帮助他们重获健康。
长春国文医院骨科严格遵循国际公认的 AO 治疗原则,不仅能熟练诊治各类骨科常见病、多发病,在罕见、疑难、危重病例的诊疗方面也颇有建树。科室具备开展各种人工关节置换术、各类脊柱手术,以及治疗脊柱、骨盆和四肢骨折等高难度手术的能力,为患者提供优质、高效的医疗服务。
微信扫码预约

吉公网安备 22010202001049号 吉ICP备2021003606号