近日,一位被外院判定为“无抗肿瘤治疗指征”、转入医院进行临终关怀的89岁女性患者,经长春国文医院胸部肿瘤放化疗科团队精准评估与个体化治疗后,病情好转。该案例展现了长春国文医院的多学科协作能力、精准诊断能力以及综合治疗能力,为处理复杂肿瘤病例提供了有益借鉴,也为更多晚期肿瘤患者带来了希望。
患者因“四肢活动不灵1周”就诊。此前,她因咳嗽、胸闷于外院行胸部CT检查,提示右肺占位伴纵隔淋巴结及多发脑转移。经外院专科会诊,考虑患者高龄、基础状况差,认为无抗肿瘤治疗指征,家属遂放弃治疗,将其转入长春国文医院进行临终关怀。

入院后,长春国文医院医疗团队并未因“临终关怀”的定位而简化诊疗流程。经详细沟通,团队发现患者神志清楚、有强烈治疗意愿,且体能尚可耐受口服药物。考虑到肺腺癌脑转移患者存在靶向治疗机会,医院迅速启动多学科会诊机制,由胸部肿瘤放化疗科牵头,联合影像科、病理科、神经外科等专家共同研判,经与家属反复商议后决定尝试抗肿瘤治疗。
查体显示,患者右锁骨上可及肿大淋巴结,质硬固定。医疗团队行超声引导下淋巴结穿刺活检,病理回报为肺腺癌;基因检测示EGFR L858R 21外显子突变。这一关键发现为后续精准治疗提供了科学依据,体现了医院在分子病理诊断领域的规范操作能力。
患者因颅内多发转移灶伴水肿,入院时双下肢肌力Ⅲ级,需轮椅辅助。面对治疗困境,医院再次发挥多学科协作优势,经与家属充分沟通后,决定行脑转移灶三维立体定向放疗。放疗结束后第5天,患者四肢肌力恢复至Ⅳ级,神经症状得到改善,展现了医院在精确放疗技术方面的实践能力。
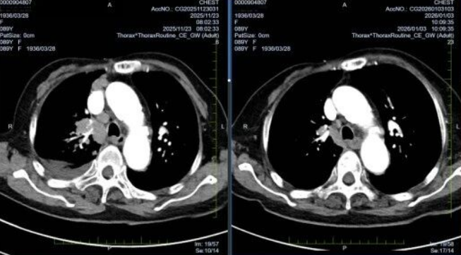
基因检测报告回报后,患者开始口服靶向药物。服药1月余复查胸部CT显示:右肺原发灶缩小约20%,纵隔淋巴结明显退缩;头颅增强MRI示脑转移灶缩小近50%,水肿带显著吸收。治疗期间过程顺利,无明显不良反应。目前患者病情稳定,已恢复部分自理状态,定期门诊随访。
即使被判定为“临终状态”的高龄晚期肺癌患者,经长春国文医院个体化精准治疗后仍可获得长期生存与良好生活质量。随着精准医学的发展,基于分子分型的个体化治疗策略正在改写传统诊疗观念,也为更多晚期肿瘤患者带来了希望。
微信扫码预约

吉公网安备 22010202001049号 吉ICP备2021003606号