近日,长春国文医院介入治疗科刘维民主任团队,成功为一名肝恶性肿瘤患者实施靶免联合介入治疗。团队以精准化、个体化的诊疗理念,将靶向治疗与免疫治疗、微创介入技术有机结合,有效控制患者病情,使肝脏病灶从初始的90*78mm大幅缩小至29*16mm,为肝恶性肿瘤患者带来了更优质的诊疗希望。
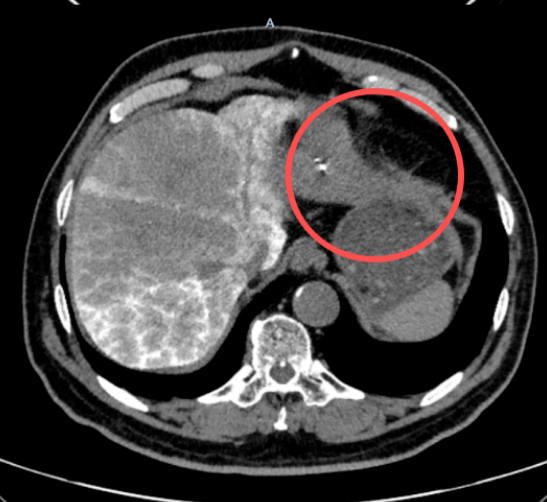
患者杨某(化名)体检中发现肝脏恶性病灶,大小达90*78mm。面对突如其来的病情,杨某及家属辗转多家医院后,慕名来到长春国文医院介入治疗科寻求治疗。

接诊后,介入治疗科团队刘维民主任团队第一时间为患者完善全面术前检查,详细评估肿瘤位置、大小及与周边组织的关系,同时结合患者个体体质和基础健康指标,开展多维度病情研讨。
针对杨某的病情特点,专家团队摒弃单一治疗模式,充分发挥微创技术优势,为其量身制定靶免联合介入的个体化综合治疗方案。该方案将靶向治疗与免疫治疗有机结合,既能精准打击肿瘤病灶,又可激活机体自身免疫机制,实现更高效、更全面的治疗效果。
治疗过程中,介入治疗科团队精准实施每一步治疗,全程密切监测患者身体反应,及时调整治疗细节,确保治疗安全顺利。护理团队同步提供全方位精细化护理服务,从病情观察、生活照料到心理疏导,耐心安抚患者焦虑情绪,帮助其树立战胜疾病的信心。

经系统治疗后,患者杨某身体状况逐步好转,不适症状缓解。近期复查显示,肝脏肿瘤病灶已从90*78mm缩小至29*16mm,病灶体积缩减,病情得到理想控制。拿到复查结果时,患者及家属难掩激动,对介入治疗科医护团队连连致谢。
长春国文医院介入科始终秉持“以患者为中心”理念,深耕微创介入诊疗领域,致力于为肿瘤及血管性疾病患者提供科学、精准、高效的个体化诊疗服务。未来,科室将继续坚守医疗初心,不断提升技术水平与服务质量,用专业与担当为更多患者点亮生命希望。
微信扫码预约

吉公网安备 22010202001049号 吉ICP备2021003606号