复杂尿路畸形 + 结石诱发感染性休克 国文医院泌尿外科阶梯治疗守护患者生命



泌尿外科 > 新闻   阅读:12 次

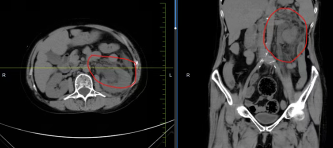
近期,长春国文医院泌尿外科成功救治一例因左侧输尿管结石合并重复肾畸形,继发严重尿源性脓毒血症、感染性休克的危重患者。科室团队严格遵循尿源性脓毒血症治疗规范,使患者转危为安,为复杂泌尿系感染危重症患者赢得了宝贵的生命转机。

凶险急症:感染可迅速发展为休克

尿源性脓毒血症是泌尿系统感染引发的全身炎症反应综合征,也是泌尿外科最凶险的急症之一。当泌尿系结石或梗阻导致尿液引流不畅,细菌大量繁殖并侵入血液,可迅速发展为脓毒血症甚至感染性休克,死亡率极高。

该患者因左侧重复肾畸形合并输尿管上段结石,造成尿路梗阻、肾盂积水,细菌逆行感染引发急性肾盂肾炎、肾周围炎,最终诱发脓毒血症。同时患者合并高血压病3级、低蛋白血症等多种基础疾病,治疗难度显著增加。



规范治疗:阶梯式方案搭建生命防线

长春国文医院泌尿外科团队严格遵循尿源性脓毒血症标准化治疗流程,制定个体化方案。

紧急复苏与抗感染:入院后立即启动液体复苏,纠正低钠、低钾、低钙等电解质紊乱,同时根据药敏结果选用强效广谱抗生素,快速控制全身感染。

解除梗阻与引流减压:优先通过穿刺引流解除梗阻,引出脓血性液体,控制感染进展。待患者生命体征稳定后,计划择期手术解除结石梗阻,避免感染反复。

多学科精细管理:针对高血压、肾功能不全等基础疾病,联合相关科室制定围手术期方案,全程监测生命体征与化验指标,降低并发症风险。

针对患者重复肾这一先天性畸形,团队决定分阶段治疗:先控制感染、稳定全身状况,待病情允许后再评估结石处理与畸形矫正手术时机,既避免急诊手术高风险,又兼顾长期疗效。患者病情稳定后已出院,计划1个月后返院评估手术时机。

专家提醒:高危信号需警惕

尿源性脓毒血症并非毫无预兆。泌尿系结石患者如出现突发高热、寒战、腰痛加剧,或伴有头晕、心慌、四肢湿冷、尿量减少等表现,应立即就医。结石梗阻合并严重感染、肾功能不全、老年或体弱患者,更需格外警惕。

长春国文医院泌尿外科已建立完善的急危重症快速响应与救治流程,为患者提供从急诊抢救到择期手术的全周期诊疗服务。主泌尿系结石、梗阻等问题切勿拖延,尤其是合并基础疾病的高危人群,应及时就医,早发现、早干预。


关注订阅号 了解更多咨询

搜索医生
+
寻找适合您的医生,评估您的医疗需求。
预约挂号
+

微信扫码预约

您可致电24小时服务中心(96120)预约医生。
联系我们
-
24小时服务电话
96120
投诉信箱
csc@int.gwmc.cn
血管外科 Vascular Surgery
泌尿外科 Urology Surgery
淋巴瘤/血液病 Lymphoma / Hematological Disease
胸部肿瘤外科 Thoracic Tumor Surgery
胸部肿瘤放化疗I Chest Tumor Chemotherapy
胸部肿瘤放化疗Ⅱ Chest Tumor Chemotherapy
胸部肿瘤放化疗Ⅲ Chest Tumor Chemotherapy
介入治疗科 Interventional Therapy Center
肝胆胰/腹膜后肿瘤外科/甲状腺外科 Hepatobiliary Pancreatic/Retroperitoneal Tumor Surgery/Thyroid Surgery
消化道肿瘤放化疗I Chemoradiotherapy for Digestive Tract Tumors I
消化道肿瘤放化疗II Chemoradiotherapy for Digestive Tract Tumors II
胃肠外科/疝与腹壁外科 Gastrointestinal surgery/Hernia and abdominal wall surgery
结直肠外科/肛肠外科/盆底康复 Colorectal surgery/Anorectal surgery/Pelvic floor rehabilitation
头颈/食管肿瘤放化疗 Radiotherapy and chemotherapy for head and neck/esophageal tumors
核医学科 Nuclear Medicine Department
放射治疗中心 Radiotherapy Center
乳腺肿瘤诊疗中心 Breast cancer treatment center
妇科肿瘤放/化疗 Radiotherapy/Chemotherapy for Gynecological Tumors
眼/耳鼻咽喉外科 Eye/Ear Nose and Throat Surgery
妇科 Gynaecology
儿科 Pediatrics
产科 Obstetrics Department
电诊科 Electrodiagnosis Department
手术中心 Operation Center
康复中心 Rehabilitation Center
急救中心 First Aid Center
临床检验中心 Clinical Testing Center
医学影像中心 Medical Imaging Center
日本精益体检 Physical Examination Japan
内科特需病区 Internal Medicine Special Needs Ward
肾病/中毒内科 Internal Medicine Department of Nephrosis
神经内科 Department of Neurology
呼吸内科 Respiratory Medicine
呼吸与危重症医学科 Respiratory and Critical Care Medicine Department
消化内科 GI Medicine
神经外科 Neurosurgery
骨科 Orthopaedics
口腔科 Dental Department
皮肤科 Dermatology
中医科 Traditional Chinese Medicine department
心血管内科 Cardiovascular Medicine
CCU CCU
ICU ICU
内分泌代谢病科 Endocrine and Metabolic Diseases
病理科 Pathology Department
内镜中心 Endoscopy Center
健康体检中心 Health Examination Center
生殖医学中心 Reproductive Medicine Center



Copyright © 2017 by CopyGuowen medical .co. All rights reserved     吉公网安备 22010202001049号  吉ICP备2021003606号